2023년 뇌 MRI 촬영

2023년 뇌 MRI 촬영

  1. 전자부품
    1. 기타
      1. 신체
        1. 2023년 폐암 수술
          1. 2023년 뇌 MRI 촬영 - 이 페이지
  2. 2023/11/21 밤, 뇌 MRI 촬영
    1. 설명
      1. 폐암이 유독 전이가 활발한 이유는 폐에 연결된 동맥이 심장을 통해 전신으로 퍼지기 때문이다.
      2. 비소세포폐암은 국소 재발보다는 뇌, 뼈, 간 등에 전이 되는데, 특히 뇌전이가 자주 발생된다. 이를 확인하기 위해 뇌 MRI를 찍었다.
      3. MRI는 강한 자기장을 사용한다. 금속물질을 있는지 체크한다. 검사시 소음이 심하다. 안전 공구의 한 종류인 귀마개를 제공한다.
    2. 촬영 결과
      1. 설명
        1. T1 강조영상
        2. T2 강조영상
      2. 화면 캡쳐 및 화면 연속 캡쳐로 동영상을 만듬
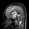
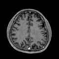
        1. 3D T1 TFE CE(turbo field echo, contrast-enhanced)
          1. 대표사진
          2. 동영상-1
        2. 1mm 간격으로 촬영한 사진 160장으로
          1. 대표사진
          2. 동영상-2,3
              AX COR
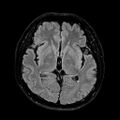
        3. FLAIR((fluid attenuated inversion recovery;유체 감쇠 반전 회복)
          1. 대표사진
          2. 동영상-4
              T2 FLAIR AX
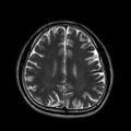
        4. TSE(Turbo Spin Echo; 고속스핀에코 기법)
          1. 대표사진
          2. 동영상-5,6,7
              T2 TSE AX(위에서 보면서) T2 TSE COR(앞에서 보면서) T2 TSE SAG(옆에서 보면서)
      3. 뇌전이는 없다고 함.