"2023년 폐암 수술"의 두 판 사이의 차이

잔글
잔글
 
10번째 줄: 10번째 줄:
 
<ol>
 
<ol>
 
<li> [[2023년 폐암 진단서]]
 
<li> [[2023년 폐암 진단서]]
 +
<li> [[2023년 뇌 MRI 촬영]]
 
</ol>
 
</ol>
 
</ol>
 
</ol>
359번째 줄: 360번째 줄:
 
</gallery>
 
</gallery>
 
</ol>
 
</ol>
<li>2023/11/21 밤, MRI 촬영
+
<li>2023/11/21 밤, 폐암은 뇌로 쉽게 전이되므로, 암 전이를 판단하기 위해 뇌에 대한 MRI 촬영
 
<ol>
 
<ol>
<li>설명
+
<li> [[2023년 뇌 MRI 촬영]]
<ol>
 
<li>폐암은 뇌쪽으로 암 전이가 쉽게 일어난다. 확인하기 위해서이다.
 
<li>MRI는 강한 자기장을 사용한다. 금속물질을 있는지 체크한다. 검사시 소음이 심하다. [[안전 공구]]의 한 종류인 귀마개를 제공한다.
 
</ol>
 
<li>촬영 결과
 
<ol>
 
<li>설명
 
<ol>
 
<li>T1 강조영상
 
<li>T2 강조영상
 
</ol>
 
<li>화면 캡쳐 및 화면 연속 캡쳐로 동영상을 만듬
 
<ol>
 
<li>3D T1 TFE CE(turbo field echo, contrast-enhanced)
 
<ol>
 
<li>대표사진
 
<gallery>
 
image:body04_037_3d_t1_tfe_ce_1.jpg | 좌측눈 기준면
 
image:body04_037_3d_t1_tfe_ce_2.jpg | 우측눈 기준면
 
</gallery>
 
<li>동영상-1
 
<ol>
 
</ol>
 
</ol>
 
<li>1mm 간격으로 촬영한 사진 160장으로
 
<ol>
 
<li>대표사진
 
<gallery>
 
image:body04_037_axial_1mm.jpg | AX
 
image:body04_037_cor_1mm.jpg | COR
 
</gallery>
 
<li>동영상-2,3
 
<ol> AX COR
 
</ol>
 
</ol>
 
<li>FLAIR((fluid attenuated inversion recovery;유체 감쇠 반전 회복)
 
<ol>
 
<li>대표사진
 
<gallery>
 
image:body04_037_t2_flair_ax.jpg | T2 FLAIR AX
 
</gallery>
 
<li>동영상-4
 
<ol> T2 FLAIR AX
 
</ol>
 
</ol>
 
<li>TSE(Turbo Spin Echo; 고속스핀에코 기법)
 
<ol>
 
<li>대표사진
 
<gallery>
 
image:body04_037_t2_tse_ax.jpg | T2 TSE AX(위에서 보면서)
 
image:body04_037_t2_tse_cor.jpg | T2 TSE COR(앞에서 보면서)
 
image:body04_037_t2_tse_sag.jpg | T2 TSE SAG(옆에서 보면서)
 
</gallery>
 
<li>동영상-5,6,7
 
<ol> T2 TSE AX(위에서 보면서) T2 TSE COR(앞에서 보면서) T2 TSE SAG(옆에서 보면서)
 
</ol>
 
</ol>
 
</ol>
 
</ol>
 
 
</ol>
 
</ol>
 
<li>2023/11/22 09:00 정식으로 퇴원 통보받음. 09:30 퇴원
 
<li>2023/11/22 09:00 정식으로 퇴원 통보받음. 09:30 퇴원

2023년 12월 23일 (토) 22:14 기준 최신판

2023년 폐암 수술

  1. 전자부품
    1. 기타
      1. 신체
        1. 2023년 폐암 수술 - 이 페이지
          1. 2023년 폐암 진단서
          2. 2023년 뇌 MRI 촬영
  2. 이력
    1. 2023/09/13 수, 녹십자 아이메드(i-med) 강남센터(서초) 건강진단
    2. 2023/09/20 건강검진결과서가 우편으로 집으로 발송.
      1. 종합의견
      2. 내용
        1. 심한 전립선 비대. 증상이 있는 경우 전문의 진찰 및 치료를 받아야 한다.
        2. 폐결절, 저선량흉부CT 촬영으로, 좌상엽 부위에 2.6cm 결절 관찰. 정확한 진단을 위해 조직검사가 필요하다.
    3. 2023/10/05 14:25 녹십자 아이메드에서 가정의학과 전문의와 상담
      1. 폐 결절이 가장 중요하므로, 가까운 종합병원을 방문하라.
      2. 영상자료를 CD에 복사함
        1. X-RAY 정면 사진
        2. 저선량 폐CT 여러 사진을 동영상으로
    4. 2023/10/17 가톨릭대학교 성빈센트병원 호흡기내과 김성경의사와 상담
      1. 녹십자 아이메드에서 촬영된 영상데이터 CD를 성빈센트병원 영상데이터베이스에 직접 저장시킴.
      2. 녹십자 아이메드에서 찍은 저선량흉부CT 사진을 보고, 위험하다.
      3. 조영제 넣어서 자세히 찍어보자.
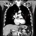
    5. 2023/10/20 조영제 CT 촬영
      1. 조영제 투입
      2. 대표사진 - 사진 속 빨강 원이 문제의 결절
      3. 사진을 동영상으로 변환. 노랑 원이 문제의 결절
        1. 동영상-1,2
            axi
        2. 동영상-3,4,5
            axi 위에서 볼 때 cor 앞에서 볼 때 sag 옆에서 볼 때
    6. 2023/10/24 호흡기내과 김성경의사와 상담
      1. 조영제 투입된 CT 사진을 볼 때 수술해야겠다.
      2. 옆 방에서 진료중인 심장혈관흉부외과 조덕곤의사를 지금 방문하라.
        1. 수술합시다.
    7. 2023/10/31
    8. 2023/11/14 화, 가톨릭대학교 성빈센트병원 입원. 오후3~4시에 할 수 있다.
      1. 입원하면, 환자 및 보호자1인은 개인식별용 손목띠를 찬다.
        1. 사진
        2. 위 사진은 2023/12/10 촬영함. 그리고 바로 절단하여 버렸다.
          1. 약 26일간 착용함.
          2. 피부에 점점 더 달라붙는다. 가렵다. 잘 때 불편함이 의식된다.
      2. 입원
      3. SPECT(Single-photon emission computed tomography) 촬영
        1. 사진-1
        2. 오른쪽 폐는 3개(RUL RML RLL)로 나누어져 있고, 왼쪽 폐는 2개(LUL, LLL)로 나누어져 있다.
          1. 내 경우 폐기능은 (암이 있는) 왼쪽 45%, 오른쪽 55% 를 보이고 있다. 정상인인 경우 왼쪽 오른쪽 비율이 궁금하다.
          2. 문제의 왼쪽 폐 위쪽(LUL)은 체적 30%, 기능 24%를 차지하고 있다. 기능이 체적이 비례하지 않고 있다. 원인이 암 때문인지 궁금하다.
        3. 수치로 나오는 좋은 기계이다.
        4. 참고로 11월 30일 다시 찍었다.
      4. 코로나19 PCR 검사를 위한 검체 채취
        1. 결국, 두 번에 걸친 채취와 오랜 검사 결과로 음성판정받음.
    9. 2023/11/15
      1. 탄력스타킹아대(색전증 방지용 압박 스타킹) Sunpolar internation Co. Ltd에서 공급, 압축정도 20~30mmHg 압력은 중등도 정맥류 압축, 30~40mmHg이면 급성심부정맥 혈전증용
      2. 수술
        1. 수술장으로 가는 이동침대에 누워. 천장의 밝은 조명 때문에 얼굴에 이불을 덮으니, 이송담당자 왈 덮으면 안된다고 함.
        2. 누워 여러 문을 통과하고 복도로 가는 경로에서 천장 조명 및 출입구 위를 비추는 영화 장면이 이제야 이해됨.
        3. 수술실에서
          1. 쓰윽 훑어보니 모두 녹색 가운입은 약 7명 사람.
          2. 반팔차림이어서, 수술실 온도는 사계절 모두 동일합니까? 물어보니 모른다고 함.
          3. 마취과 의사입니다. ..., 프로포폴 10(?)ml ...
          4. 아싸, 프로포톨, 드디어 나도 맞아보는구나.
        4. 수술중. 수술후 중환자실에서 얼마동안 머물러야 될지 예측되지 않기 때문에, 병실을 비웠다. 그래서 환자 해당 병실이 표시되지 않는다.
        5. 수술실에서 나와 중환자실로 나오면서
          1. 얼굴 쓰다듬는 아내 윤곽이 보이면서, 여보 고생했어요. 라는 말이 기억남
          2. 이 때 아내는 내 입에서, 나도 연애인들이 맞아봤다는 프로포폴을 드디어 맞아봤다.라고 말했다고 함.
      3. 08:56 코로나19 PCR 검사(02:36 검사)에서 미결정 판정. 중환자실 격리 1인싱 배정될 예정
      4. 11:30 중환자실로 이동. 중환자실에서
        1. 이중 출입문(인터락)
          1. 버튼을 누르면, 미닫이 문이 열린다.
          2. 안전을 생각해서 천천이 움직이고 닫힌다.
          3. 인터락 기능이 모두 충족하려면 출입에 꽤 오랜시간이 걸린다.
        2. 침대 머리맡에는 샤프펜슬처럼 누르는 Momentary pushbutton(NO) 푸시버튼 스위치가 걸려 있다.
          1. 누르면 담당자가 즉시 달려온다.
        3. 마약성 진통제
          1. 손목에 꼽은 주사 부위가 아닌, 위쪽 약 15cm 지점에 바늘로 찌르는 듯한 통증이 온다.
            1. 눈으로 살펴보니, 주사바늘 위치가 아니다. 아픈 곳을 긁어보니 통증이 사라진다.
            2. 통증 지점이 움직이는 듯하다.
          2. 눈감고 누워있을 때 환상이 보인다. 마치 '사이버펑크(cyberpunk) 네온 거리' 또는 '사이키델릭(psychedelic) 미술'과 같은 화려한 네온사인 모자이크로 이루어져 있다.
            1. 눈 떴을 때 보이는 중환자실 출입문 및 벽면 대신에 눈을 감으면 그 곳에 환상이 보인다.
            2. 눈을 떠 이 환상을 깨뜨려 보려고 했지만, 실패하고 계속 환상을 보게되었다.
            3. 한 10분(?) 정도 지나 눈을 떠 환상을 없앤 듯하다.
        4. 중환자실을 떠나, 입원 병동으로 가기 전에 (수술시 오염된) 환자복 상하의 교체
          1. 옷을 갈아 입혀주는 전문가(간호조무사) 두 명이 따로 존재한다.
          2. 환자를 90도 돌려 침대 시트, 옷 등을 정리하고, 반대방향으로 180도 돌려 다시 작업한다.
          3. 특히 엉덩이에 땀이 있는지 체크한다.
        5. 오줌 배출을 위한 도뇨 카테터(소변줄)
          1. 침대에 누웠을 때부터, 오줌이 마려운 느낌인데 오줌은 나오지 않을 것 같은 오묘한 불편감을 느낀다.
            1. 그러나, 항상 오줌이 빠져나가가 쉬 마렵다는 불편함은 즉시 해소된다.
          2. 2-way 폴리카테터를 사용함.
          3. 소변줄을 뺄 때 보니, 주사기로 물을 빼고, 빠른 속도로 카테터를 빼 낸다.
        6. 대변 처리
          1. 침대에서 절대로 내려오지 못하게 한다.
          2. 그러므로 똥 싸려면, 침대에서 낮은 변기를 받치거나(현실적으로 어렵다고 함.)
          3. 기저귀를 찬다. 기저귀를 채워주고 똥 닦아주는 담당자 두 명이 있다.
          4. 실제로 수술후 4일 후에 (전신마취 영향으로) 대변을 볼 수 있다. 그러므로 중환자실에서 하루만에 똥마렵다고 하면 거짓일 가능성이 있다.
        7. 침대
          1. 침대에는 유체로 몸을 상하로 약간씩 이동시켜주는(흔들어주는) 장치가 있다.
          2. 엉덩이에는 (욕창 방지용) 말랑말랑한 젤 팩이 있다.
          3. 침대 온도를 조정할 수 없다. 실내 온도도 조절할 수 없다. 깊은 호흡 운동을 하면 덥다고 느껴진다. 이 때는 얼음팩을 제공한다.
        8. 환자감시장치(모니터에 그래프를 그려준다. 간호사실에도 동일하게 보여준다.)
          1. 공기 혈압계는 1시간에 한 번씩 동작한다. 그러므로 잠은 1시간에 한 번씩 깨어난다.
          2. 심전도, 센서선 5줄
          3. 동맥관에 삽입한 주사기+튜브를 통해 혈압을 실시간 모니터링한다.
            1. 혈압이 낮아져야 병실로 갈 수 있다. 그러므로 매우 중요하다.
            2. 튜브에 걸리는 유체 압력을 수m 떨어진 곳 별도의 측정기가 측정한다.
          4. SPO2 센서 PPG센서
            1. 이 때 사용된 센서
            2. 실험
              1. 호흡을 (약 3회/1초) 매우 빠르게 하면 호흡반응이 그래프로 정확히 나온다. 경보음이 발생된다.
                1. 반응 소요시간 = 기도 기관지로 공기가 들어가는 시간 + 폐포에서 산소가 동맥으로 흡수되는 시간 + 동맥이 폐포에서 손끝까지 흐르는 시간
                2. 위 반응시간이 5회/1초 이내로 추정됨. 즉, 생각보다 매우 빠른 속도로 산소가 피를 통해 온몸에 퍼지는 듯
              2. 호흡을 멈추면 모니터 그래프가 바닥에 깔려 나온다. 아무런 경보음이 울리지 않는다.
        9. 진물 제거
    10. 2023/11/16
      1. 09:23 코로나19 PCR 검사에서 음성 판정. 코로나 음성 환자에 해당되는 병실 배정
      2. 12:00 92병동으로 이송(전날 입원은 91병동이었다.)
      3. 진통제 2023/11/16
      4. 재활 기구
        1. 인스피로미터 inspirometer
          1. 위키페디아 incentive spirometer https://en.wikipedia.org/wiki/Incentive_spirometer
            1. 느리고 깊은 호흡을 훈련시켜 폐 확장 및 강화를 촉진시킨다.
            2. 전신 마취를 하면 폐에 기낭이 수축되어 있다. 완전히 팽창시키지 않으면 폐렴으로 이어질 수 있다.
          2. 병원에서
          3. 참고
            1. 고산병
              1. 해발 3000m 이상에서 산소 부족으로 나타나는 질환
              2. 고지대로 올라갈수록 공기가 희박해져 문제가 발생된다. 산소비율이 낮아져 그렇지 않다. 산소비율은 1000m까지 21%로 일정하다.
                1. 공기밀도가 낮아지고, 이는 산소 밀도도 낮아져 문제가 된다.
                2. 동맥혈에 녹아있는 산소가 줄어, 조직에서 저산소증이 발생된다.
                3. 해발고도 0m에서 공기밀도는 1.2kg/m^3, 3000m에서는 0.84kg/m^3 이므로 약 0.7배이다.
              3. 볼리비아, 4600m 고도에 있는 호텔 'Tayka del Desierto'에서 하룻밤 투숙한 적이 있음.
            2. 남미-2020년 여행, 해발 3656m 우유니 사막, 호텔 '팔라시오 데 살'에서.
        2. 수동식흉벽진동기, 상품명: 에어로 제시카(aero Jessica)
          1. 환자의 흉벽으로 공기 진동을 주는 기구
            1. 진동으로 폐 내의 점액 침전물을 분리 배출하는데 도움을 준다.
            2. 금속구슬을 주기적으로 띄우고, 이 때 발생되는 압력진동으로 폐를 떨게 한다.
          2. 병원에서
          3. 참고. 1972/02/12 김명기 국민학교 1학년 때 그림일기에서. 뽀빠이담배
      5. 병실 출입구에 있는 1차원 바코드 판독용 레이저 스캐닝 유닛
      6. 병원 유리 . 이중유리창에 기밀성이 파괴되어 수분이 들어가, 낮은 온도에 응축되었다.
      7. 산소 공급 2023/11/21
      8. 수술 자국.
        1. 사진
        2. 헤모스탑 Hemostop-TR 6.0ml Hemostop Plus(HSP-60), 디메드 리소스(DMED RESOURCE)라는 회사에서 2021/12 보험공단 급여등재 및 판매시작
          1. 품목명: 흡수성체내용지혈용품
            1. 기술자료 - 120p
          2. 사용목적: 외과적 수술후 흡수성 재료를 사용하여 조직을 지혈하는데 사용한다.
          3. 262,400원(전액본인부담)
      9. 병원밥
        1. 7일중, 앞 4일은 꿈을 꾸지 않고 잠.
        2. 이후 3일동안은 꿈을 꿈.
      10. 흉강 체액 제거기, 스위스 Medela AG Thopaz(토파즈)
        1. 흉막강 내에 비정상적으로 존재하는 공기 또는 체액을 제거하고 폐가 재팽창될 수 있도록 흉강내 압력을 정상화시킨다.
        2. 디지털 흉부 배액 및 모니터링 시스템
          1. 진공 압력 조절
          2. 유량센서로 유량 측정 10ml/min 분해능
      11. 퇴원 당일 2023/11/22
    11. 2023/11/21 밤, 폐암은 뇌로 쉽게 전이되므로, 암 전이를 판단하기 위해 뇌에 대한 MRI 촬영
      1. 2023년 뇌 MRI 촬영
    12. 2023/11/22 09:00 정식으로 퇴원 통보받음. 09:30 퇴원
      1. 퇴원 안내
      2. 진료비
        1. 진료비 영수증. 총액 19,324,412=(급여+비급여2,963,463)
        2. 세부산정내역서 신청서
        3. 세부산정내역, 8장
    13. 2023/11/24 금 10:00 , PET(positron emission tomography;양전자단층촬영) 실시
      1. 진료비
        1. 영수증.
        2. PET 몸통(토르소 torso) 촬영에 약 80만원. 그러므로 본인 건강검진(100% 본인부담)용 암을 찾기 위해 전신 촬영을 하면 100만원이 넘을 듯
      2. 전날 밤 24시부터 금식이다.
      3. 물도 마시지 않는다. (나중에 물어보니, 먹는 샘물 즉, 생수는 괜찮다. 생수 마셔도 되고 보리차 등은 안된다고 하면, 환자들이 착각해서 보리차 등을 마시기 때문이다.
        1. 검사전 오줌을 눈다.
        2. 오줌이 차 있으면, 방광근처 화질이 나빠지기 때문이다.
      4. 암을 찾은 검사이다. 온 몸을 다 뒤진다. 포도당에 방사선물질을 주입하여 주사한다.
        1. 주사한 후, 약 30~45분 휴식한다. 온 몸에 해당 포도당이 퍼질 때까지 기다려야 하기 때문이다.
        2. 촬영기사가 방사선물질 주입한다. 이 때 납으로 만들어진 주사기를 감싸고 있는 치구를 이용한다. 가슴 부위에 철판을 설치한 책상에서 주입한다.
      5. PET 검사장비 100억대이다. 영상의학과에서 가장 비싼 기계이다.
        1. 검사시간은 10분이다.
        2. 검사영역은 눈 밑에서 허벅지까지이다. 내 경우 의료비 숫가 때문에 이렇게 정해져 있다. 아마 폐 암 때문에 찍기 때문에 영역이 한정된 듯.
        3. 검사 때 양손을 들어 만세 자세를 취한다. 보통 환자들이 손 및 머리를 움직여 해당영역도 미세한 움직임 때문에 화질이 나빠진다. 그러므로 되도록 움직이지 말고 참아야 한다.
        4. 검사 중 환자가 움직여 화질이 나빠지더라도 다시 찍지 않는다.
          1. 비싼 기계여서 가동율을 최대한 높이기 위해(많은 환자를 찍기 위해)라고 생각했는데
            1. 페친 관계자왈 방사선 반감기가 있어, 시간이 지나면 판독할 수 없기 때문이다.'
            2. 그래서 내 생각은 다시 찍으려면 방사선을 다시 주입해야 하는데, 그러면 피폭 문제가 될 것으로 추정한다.
          2. 페친 관계잘왈: 방사선 피폭은 문제되지 않는다. 보험이 1년에 1회 촬영이기 때문에 그렇다. 만약 비보험(비급여)으로 더 찍으면 과다진료로 문제가 된다.
        5. 검사 데이터는 약 1GB 획득된다.
      6. 촬영결과
        1. 몸통(토르소 torso) 반투명 회전 사진
          1. Fused Tra MPR 사진
            1. 296장 사진중에서 대표사진. 사진에서 오른쪽 온통 검정색으로 보이는 영역이, 좌측 상엽이 없어져 텅빈 공간으로 나온다.
            2. 동영상, 허파가 보이는 부분만으로 동영상을 만듦
          2. PET respiratory gated MIP(호흡연동 방사선치료 계획 수립(특정 호흡에서의 종양 위치파악 등)을 위해 생성되는, 일명 4D PET 영상)
            1. 36장 사진 중에서 대표사진
            2. 동영상
    14. 2023/11/26 일, 식후 먹는 약
      1. 복약 안내문
        1. 약 6가지 설명서
        2. 약번호 3번, 마이폴 캡슐
          1. 주의사항 중에서: 졸음이나 어지러움증을 일으킬 수 있으므로, 자리에서 일어날 때 천천히 일어나며 넘어지지 않도록 조심해야 합니다.
            1. 오늘 내 생애 가장 크게 뒤로 넘어져 머리를 부딪혔다.
            2. 병 또는 수술보다, 이후 낙상이 더 큰 문제를 일으키겠다.
          2. 코데인 codeine 10mg, 이브프로펜 ibuproden 200mg, 파라세타몰 paracetamol=아세트아미노펜 acetaminophen 250mg
            1. 코데인: 마약성 진통제
          3. 사진
        1. 아침 늦잠에 꿈을 꿨다.
        2. 막히는 도로이므로 차를 서서히 멈추었다. 왼쪽 차선이 비어서 왼쪽 차선으로 약간 변경했더니
        3. 뒤쪽에 달려오는 차가 내 차량 뒷부분을 추돌하고 바로 앞에 있는 버스와 부딪치는 '소리'가 들렸다.
        4. 일어나라고 안방 문을 두드리는 소리였다.
        5. 결론: 시간이 뒤로 가는 현상을 느꼈다. 마치 영화의 한 장면처럼. 분명히 문 두드리는 소리를 듣고 난 후에, 차가 밀리는 장면 꿈을 꾸었을 것이다. 내가 느끼는 시간은 조작될 수 있다.
    15. 2023/11/27 월, 체중이 70.5kg에서 67.5kg으로 4kg 감량
    16. 2023/11/28 화,
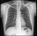
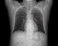
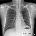
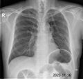
      1. X-ray 촬영
      2. 병원 외래
        1. 보령A&D메디칼 자동전자혈압계 TM-2657P(로 추정)
        2. 튜브 들어간 자리를 꿰맨 실밥을 잘라 제거함.
        3. 수술 후 정식 상담
          1. 큰 문제 없다. 별도의 항암치료 안한다.
          2. 폐는 100% 다 활용되지 않는다. 그러므로 수술하면 재생이 되어 수술전보다 폐 기능이 더 좋아질 수도 있다.
            1. 나: 주변에 제 폐암으로 관심많은 친구들이 있는데, 그럼, 담배도 피고 술도 먹고 즐겁게 살아도 된다고 이야기 하겠습니다.
            2. 의사: 담배피고 폐암걸리면 치료가 어려워 고생을 많이 합니다. 술먹으면 술에 관계되는 장기에 암에 걸린 확률이 높아집니다.
            3. 나: 예 알았습니다.
          3. 이제는 먹는 약 없다.
          4. 2년동안 추적관찰하자.
    17. 2023/11/29 수
      1. 진통제 약을 먹지 않으니, 밤에 잘 때 아파 잠에서 깬다.
        1. 진통제 효과가 아주 좋다.
      2. 수술 자국 실밥 제거 후 다시 살펴보니
        1. 사진
        2. 13:30 카톨릭대학교 성빈센트병원 심장혈관흉부외과 의사가 살펴보고, 부위가 벌어진 것 맞다.
          1. 의료용 스테이플러로 두 번 찍음.
          2. 진찰료, 처치및수술료, 영상진단료, 요양급여 = (본인부담금)12,735 + (공단부담금)51,135 = 63,870원
        3. 참고-1: 외래진료실풍경. 김명기 진료 내용이 보인다.
        4. 참고-2: 심장혈관흉부외과 의사에게 아래 도움을 요청했으나
          1. 어제부터 먹는 약도 없다. 나이롱 환자처럼 보인다. 밖은 정글입니다.
          2. 외부에서 일어나는 고도의 정치적인 활동을 위해, 몸 건강에 쓸데없는 아무약(보험이 안되어도 좋으니)이나 처방해줄 수 없습니까?
          3. 성빈센트병원 마크가 찍혀 있는 약봉투가 필요합니다.
          4. 안됩니다.
      3. 다음 외래는 2023/12/12 예약하면서, 간호사와의 대화
        1. 예약시간은 11:01 입니다.
        2. 11시 11분으로 예약됩니까? 아니오, 다음 예약은 11시 21분입니다.
        3. 11분이면 1212 1111 로 딱 기억하지 좋은데요? 안됩니다. 그럼 11시 01분으로 하겠습니다.
    18. 2023/11/30 목
      1. 10:10 감마영상검사(=SPECT) 좔영
      2. 방사선 피폭이 PET에 비해 작은 듯. 얇은 금속관에 들어 있는 주사기로, 특별한 방호판없이 그냥 주사한다.
        1. 물을 많이 먹어 방사선 물질을 빨리 배출하라고 한다. PET용에 비해 입자가 커서 천천히 배출되거나, 반감기가 오래 걸리기 때문으로 추정함.
      3. 촬영시간이 실제 30분 넘게 걸리는 듯. 그래서 잤다.(MRI와 달리 날카로운 소음이 없기 때문에) 잘 수밖에 없었다.
      4. 촬영중 몸이 움직여 화질이 나쁘면 다시 찍습니까? 예 다시 찍습니다.
      5. 촬영 결과는 12월 12일 담당의사를 만난 후, CD로 받아 볼 예정.
    19. 2023/12/01
      1. 본격적으로 마른 기침이 나오기 시작한다.
      2. 아파트 1층부터 계단 오르기 운동하면 ~약 7층되면 거친 숨이 나온다. 그리고 숨소리에서 쇠소리가 난다.
        1. 거친 호흡(빠른 속도로 공기가 기도를 통과할 때)에서 쇠소리가 난다.
        2. 목구멍을 통과하는 하나의 기관이 폐속의 기관지로 연결되는데, 기관지 직경이 줄어들면서 다시 우측3군데로, 좌측2군데로 갈라진다.
        3. 나무위키 기관지 https://namu.wiki/w/%EA%B8%B0%EA%B4%80%EC%A7%80
        4. 좌측 상폐를 잘랐기 때문에, 해당 기관지가 막혀 있다. 그러므로 닫힌관의 공명이 일어난다. 이 공명이 쇠소리로 추정된다.
        5. 정상적으로 폐포가 있으면 공기 흐름 소리를 (표면적이 큰) 폐포에서 모두 흡수(마치 자동차 소음기처럼)할 것이다.
        6. 이 쇠소리가 없어지면, 절단된 해당 기관지에서 폐포가 다시 자랐기 때문이다. 약 3개월 지나야 회복될 것으로 추정한다.
    20. 2023/12/08
      1. 12월 1일부터 시작된 기침이 심해져, 갈비뼈 및 수술부위가 아파 아침에 마이폴 캡슐진통제가 든 처방약 1회분을 먹었다.
      2. 밤에 체온이 38.9도까지 올랐다. 기침으로 인해 갈비뼈 및 수술부위가 계속 아프다.
    21. 2023/12/12
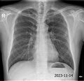
      1. X-RAY 촬영. 전면 및 측면 두 장
      2. 외래 상담 및 시술
        1. 상담
          1. 오늘 찍은 X-RAY보면서 괜찮다. 폐렴 없다.
          2. 2023/11/30 SPECT를 보면서, 음~
        2. 시술
          1. 11/29 실시한 스테이플 시술부위를 보더니, (이상하게 아직도) 안 아물었다.
          2. 다시 2방 더 스테이플 시술받음.
      3. 2023년 폐암 진단서 을 발급받음.
    22. 2023/12/21 외래 상담 및 시술
      1. X-RAY 촬영. 전면 및 측면 두 장
      2. 스테이플 2방 제거 시술
      3. 상담
        1. 괜찮다. 그러므로 약 2달 뒤에 검사하자.
        2. 2024/02/28에 4가지 검사하자. 피검사, 폐활량검사, X-RAY, SPECT 검사
        3. 그리고 1주일 뒤 외래 상담하자.
  3. 소감
    1. 마약성 진통제 때문으로 추정되는 느낌(눈 감았을 때 환영과 찌르는 듯한 아픔)을 경험하니, 영화 및 드라마의 해당 표현 기법을 알겠다.
      1. 내가 느끼는 시간은 약물을 통해 조작될 수 있다.
    2. 원인이 꼭 있어야 암에 걸리는 것은 아니다.
      1. 의료 영상 해상도가 최신 기계일수록 좋아져, 몸 샅샅이 뒤지면 뭔가 나올 것이다.
      2. 그러므로 앞으로 놀라지 말자. 해년마다 기계는 좋아져 잘 찾아낼 것이고, 우리는 나이들어 뭔가 생기기 때문이다.
    3. 담배피면 더 아프게, 그리고 오랫동안 치료된다.
    4. 돈 있어야, 치료에 덜 아프고(비싼 진통제) 빨리 낫고(비싼 상처치료제) 조용히 지낸다(1인실)
      1. 요즘 진통제는 정말 진통효과에 좋다.
      2. 총 고통 = 시그마n=1~퇴원(고통강도n x 지속시간n) 일텐데, 내 예상 총 고통 1% 만 경험했다.
    5. 내 힘으로 똥 싸고 똥 닦을 수 있어야 한다. 그래야 인간이다. 자식이 태어나 스스로 똥 닦을 때 드디어 인간이 된다고 엄마가 말했다.
      1. 더 나이들어 병원에 오래 누워있는 것은 영~ 아니다.
    6. 암이라는 이야기 듣고, 다른 병원에 간적이 없고, 해당 병에 대해서 인터넷 조사한 적이 없다. 수술 후에도 조사한 적이 없다.
      1. 내 나이 그냥 단순하게 받아들이는 것이 오히려 편안하다.
      2. 울 아빠는 내나이+1에 뇌종양 수술 실패로 돌아가셨다. 그 때부터 나는 내 삶에 대한 미련이 없이 살고 있다.
      3. 이번 뇌 MRI 찍어보니, 나는 현재 뇌종양 없다. 신난다.
    7. 2020년 남미 여행중 해발 3600~4600m에 느낀 경험을 바탕으로, 거친 호흡은 별 것 아니라고 생각한다.
    8. 종합병원의 중환자실 및 병동 간호사는 극한 직업이다. 의외로 신입간호사가 많다. 처우 개선이 필요하다고 생각된다.
    9. 병원에서 사용한 소모품, 비품 및 처치는 철저하게 내 치료비로 계산된다.
    10. 수술하면, 잘 먹은 것 같아도, 체중이 빠진다.
    11. 병원에 가면, 병원 관계자에 의해 자기 결정권이 심하게 방해받는다.
      1. 생각해보니, 60대 이상 남성들의 전형적인 우격다짐 및 의사소통이 잘 안되는 많은 노인 환자들을 병원 관계자는 매일 상대하기 때문일 듯.
      2. 그러나, 지루한 반복적인 일, 행동, 설명이지만 환자를 위해 1초 정도 더 기다려주어 환자의 자기 결정권을 키워주자.
      3. 환자 스스로 고민하고 시도하는 것을 막아 빨리빨리 진료가 끝나게 하는 것이 목표인듯.
    12. 병 및 병원치료 관련해서는 모두 개인정보이므로, 해당 주인공이 공개해야 한다.
      1. 나는, 콘텐츠를 소비만 하는 것이 아니라, originality(독창성)있는 의료 콘텐츠를 이번에 약 600만원 들여 생산했다.
      2. 이게 나의 유산이다.
    13. 입원 생활 기간 99%는 즐거움이고, 1%가 육체적 아픔이다.
    14. 수술하기 좋은 계절이 있다.
      1. 무덥지 않아 샤워하지 않아도 되고
      2. 설렁설렁 홀겹 환자복 차림으로 병원 이곳저곳 구경가도 되는, 매서운 추위가 없는
      3. 전망 좋은 곳에서 수원 팔달산과 화성 전체가 맑고 깨끗하게 보이는 청명한 계절